Австралийские ученые выяснили, как имунная система борется с коронавирусом
Фото: EPA
Результаты их исследований, опубликованные во вторник в журнале Nature Medicine, показывают, что механизм преодоления новой вирусной инфекции практически не отличается от борьбы с обычным гриппом.
А это значит, что исследование способно помочь в разработке вакцины от коронавируса.
На сегодняшний день во всем мире подтверждено более 190 тысяч случаев заражения; коронавирус унес жизни 7,5 тысяч человек.
"Это открытие важно тем, что мы впервые по-настоящему поняли, как наша иммунная система борется с новым коронавирусом", - говорит соавтор исследования, профессор Кэтрин Кедзирска.
Многие эксперты высоко отозвались об исследовании, которое проводилось в Институте инфекций и иммунитета имени Питера Доэрти в Мельбурне.
Что обнаружили ученые?
Выздоровление большинства людей, заразившихся Covid-19, наглядно свидетельствует о том, что иммунная система человека может эффективно противостоять вирусу.
Но как именно происходит эта борьба? Это удалось установить австралийским ученым, которые выявили четыре вида иммунных клеток, которые участвуют в этом сражении.
В исследованиях принимали участие ранее не жаловавшиеся на здоровье добровольцы, у которых заболевание протекало в легкой форме.

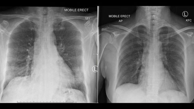
Снимки легких показывают, как они очищаются от инфекции по мере появления иммунных клеток. Правообладатель иллюстрации: PETER DOHERTY INSTITUTE
Так, в одну из австралийских больниц попала 47-летняя женщина из Ухани, которая выздоровела через 14 дней.
В интервью Би-би-си профессор Кедзирска пояснила, что исследователи "в полном объеме изучили реакцию иммунной системы этой пациентки".
За три дня до того как женщина пошла на поправку, в ее крови были замечены специфические клетки. По словам Кедзирской, примерно в это же время незадолго до выздоровления те же клетки появляются и в крови болеющих обычным гриппом.
"Нас очень порадовали эти результаты и тот факт, что мы смогли зафиксировать появление иммунных клеток у инфицированных пациентов накануне клинического улучшения", - рассказала профессор Кедзирска, добавив, что более десятка ученых четыре недели круглосуточно проводили анализы, чтобы добиться этих результатов.
Как это может помочь в борьбе с коронавирусом?
"Когда вы знаете, в какой момент в действие вступают иммунные клетки, вы можете определить, на какой стадии излечения находится пациент", - поясняет декан Технологического университета Суинберна, профессор Брюс Томпсон.
В свою очередь министр здравоохранения Австралии Грег подчеркивает, что открытие ученых может ускорить разработку вакцины и потенциальных лекарств для лечения этой инфекции.
А Кэтрин Кедзирска уже поставила новую задачу: определить, почему в самых тяжелых случаях иммунная система слабее реагирует на источник болезни.
"Это ключ к пониманию того, чем отличались от остальных те, кто умер от вируса, или болеют вирусом в особо тяжелой форме, и с помощью этого ключа мы могли бы понять, как спасти их", - говорит профессор Кедзирска.
Заметили ошибку? Пожалуйста, выделите её и нажмите Ctrl+Enter

