Редкий случай: американка искупалась в контактных линзах и частично потеряла зрение
Фото: denver.cbslocal.com
Инцидент случился в 2014 году, когда Стейси Пиплс (Stacey Peoples) вместе с сыном пошла в бассейн. На тот момент она постоянно пользовалась контактными линзами и даже не подумала их снимать.
Примерно через неделю глаза женщины покраснели и стали зудеть. Свое состояние Стейси описывала так: будто каждые несколько секунд кто-то махал ластиком перед глазами, затем в задней части глаза начиналась сильная боль, которая отдавалась взрывом в затылке. Все это заканчивалось сильной мигренью.
Вскоре ее глаза стали настолько чувствительными к свету, что она не могла водить машину или работать, затем женщина и вовсе потеряла зрение на один глаз.
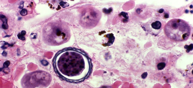
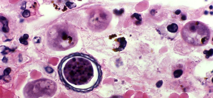
Амеба Acanthamoeba. Фото: Centers for Disease Control and Prevention
В конечном итоге офтальмолог определил источник заболевания: женщина страдала от кератита, вызванного организмами под названием Acanthamoeba. Это отдельный род амеб, обитающий в числе прочего и в воде.
Акантамебный кератит случается, когда микроскопическая амеба заражает прозрачное внешнее покрытие глаза — роговицу. Это довольно редкая глазная инфекция, которой чаще — в 85% случаев — подвержены носители контактных линз.
Чтобы остановить распространение амеб, Стейси пришлось закапывать специальные капли в течение года. Затем, в 2015 году женщине провели операцию по пересадке роговицы, которая помогла восстановить зрение. «Пересадка вернула мне зрение, это настоящее чудо», — отметила Пиплс.
Заметили ошибку? Пожалуйста, выделите её и нажмите Ctrl+Enter

