Как выглядят легкие умершего от коронавируса: в сети показали шокирующие фото
Фото: twitter.com/JustForChange
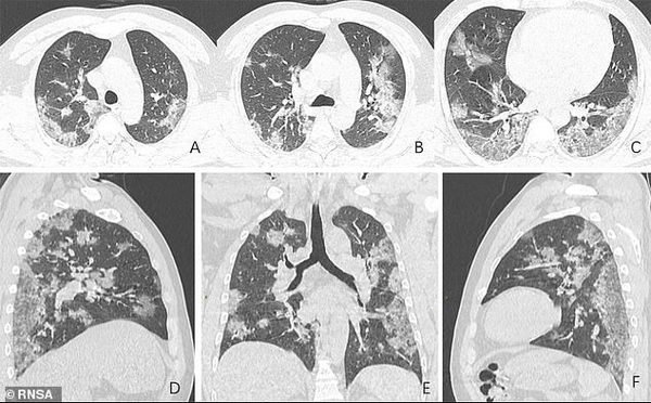
Так в сети появились рентгеновские снимки и сканы компьютерной томографии с изображением легких, которые принадлежали заболевшему коронавирусом. Радиологическое общество Северной Америки опубликовало снимки легких 44-летнего жителя Китая, работавшего на рынке в Ухане и умершего от COVID-19.
Китаец поступил в больницу в декабре 2019 года, поскольку около двух недель у него наблюдался сильный кашель и высокая температура. По итогу врачи диагностировали пневмонию и острый респираторный дистресс-синдром. Помочь пациенту не удалось, он скончался неделю спустя.
На фото видны все увеличивающиеся со временем белые пятна в нижней части дыхательных органов. Радиологи называют это симптомом "матового стекла", который отражает различные патологические изменения в легочной ткани.

Отмечается, что на фото заметно присутствие жидкости в легких мужчины, которое постепенно становится все более выраженным (проследить можно по изображению).
Заметили ошибку? Пожалуйста, выделите её и нажмите Ctrl+Enter

